علاج وتجميل الأسنان













































العناية الوقائية
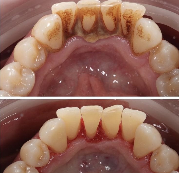
- تنظيف الأسنان : استخدام مانعات التسوس (الحشوات الوقائية) وجلسات الفلوريد.
- علاج التسوس : من خلال الحشوات التجميلية.
- علاج الأسنان : المكسورة أو المتضررة.
علاج العصب (علاج الجذور)
- إزالة العصب الملتهب أو المتضرر.
- تنظيف وحشو قنوات الجذر لمنع الإصابة بالعدوى مرة أخرى.
التجميل السني
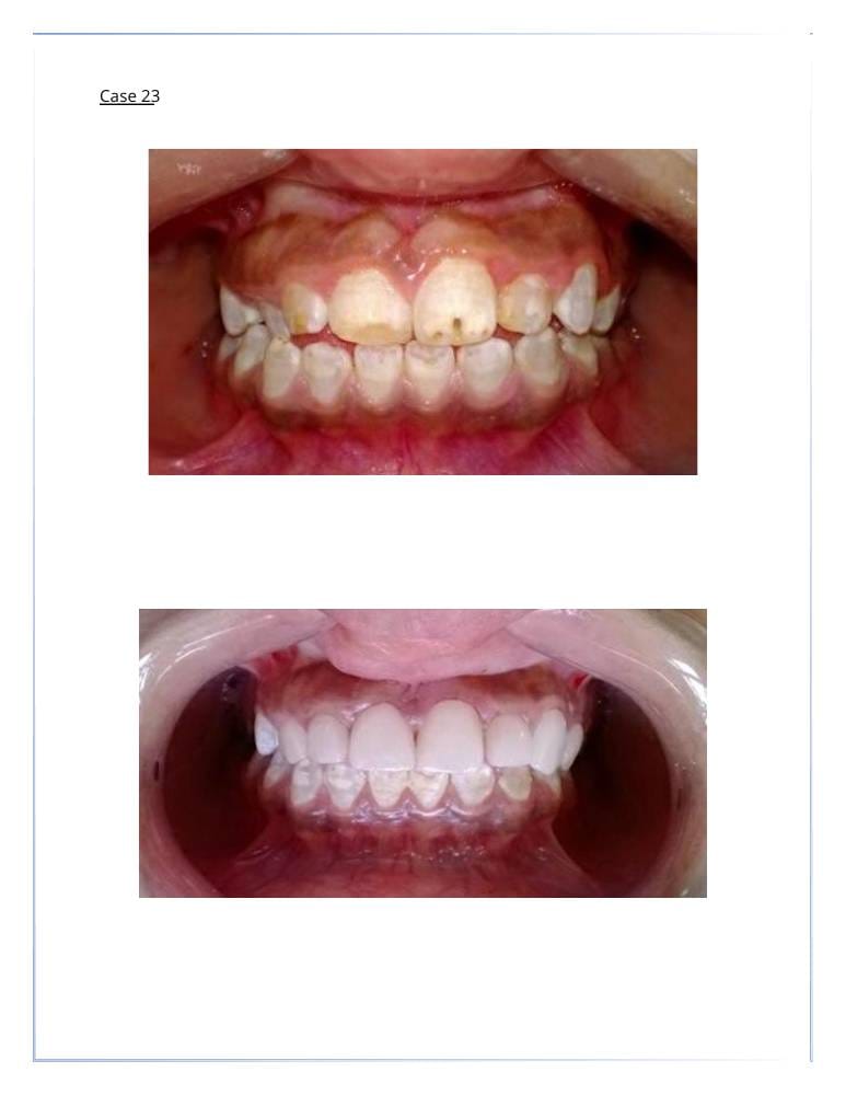
- اكدت الدراسات ان شكل ولون الاسنان يساهم في تغيير شكل وجمال الوجه بنسبة 47%
تبييض الأسنان. - قشور الفينير (veneer) لتغطية الأسنان المعيبة.
- إعادة تشكيل وتعديل الأسنان لتحسين المظهر.
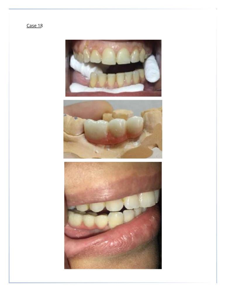
تركيبات الأسنان
- التيجان والجسور الثابتة.
- أطقم الأسنان الجزئية أو الكاملة.
- التركيبات التجميلية لتعويض الأسنان المفقودة.
زراعة الأسنان
- استبدال الأسنان المفقودة بزراعات دائمة.
- توفير الدعم للتركيبات المتحركة أو الثابتة.
- خلع الاسنان والزراعه في نفس الجلسة.
جراحة الأسنان
- خلع الأسنان المتضررة أو المطمورة.
- جراحات اللثة مثل قص اللثة أو ترقيعها.
- جراحة تصحيح وضع الأسنان بالفك.
علاج أمراض اللثة
- تنظيف عميق للثة وجذور الأسنان (التقليح والتجريف).
- جراحة اللثة لعلاج الانحسار أو الانتفاخات.
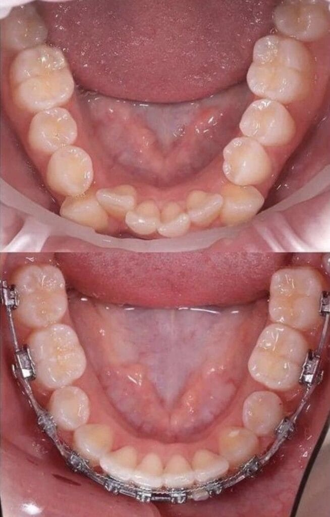
تقويم الأسنان
- تركيب تقويم الأسنان التقليدي أو الشفاف.
- تعديل وضع الأسنان والفكين لتحسين المحاذاة.
علاجات أخرى
- علاج حساسية الأسنان.
- إدارة الألم السني.
- علاج تشقق الأسنان والكسور البسيطة.
هذه البنود تشمل جزء من الجوانب الرئيسية لعلاج الأسنان والتي تهدف إلى الحفاظ على صحة الفم وتحسين المظهر الوظيفي والجمالي.
تحت اشراف مجموعة من الاطباء الحاصلين على درجة الدكتوراه من جامعة القاهرة في طب الأسنان بشكل عام، وزراعة وتجميل الأسنان بشكل خاص، تحت إشراف د. أحمد شعبان، استشاري أول زراعة وتجميل الأسنان. ومدير قسم الأسنان بجامعة بدر.
للحجز والتواصل








